射洪市中医院多学科协作:晚期肝癌患者经转化治疗重获手术机会
2025/11/12 22:16 来源:社区文化网 阅读:1.4万
社区文化网(苏勤 李统文)肝癌晚期曾意味着手术无望,但现代医学正打破这一局限。近日,射洪市中医院肝胆外科联合多学科团队,成功为一名曾被判 “无法手术” 的肝癌晚期患者实施肝叶切除手术,患者术后 3 天即可下床,现已顺利出院。
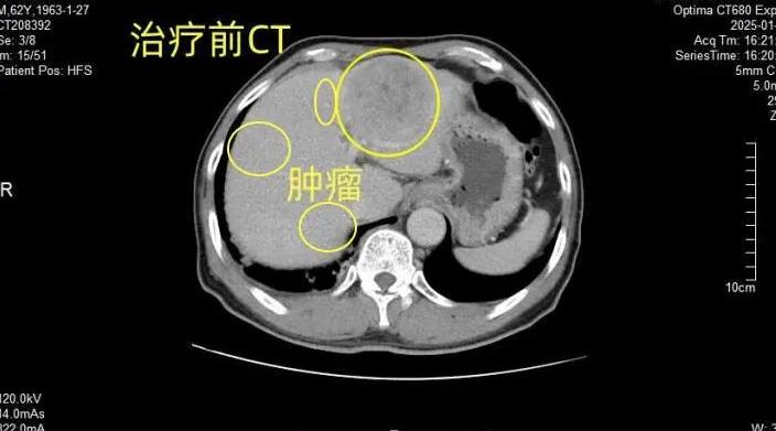
该患者初诊时因肿瘤巨大、存在血管侵犯或多发转移,被判定为肝癌晚期,失去直接手术切除的机会。为挽救患者生命,医院立即启动多学科协作模式,由肝胆外科牵头,联合超声科、肿瘤科、影像科共同制定治疗方案。

团队为患者采用靶向药物、免疫治疗与介入治疗(TACE)相结合的转化治疗方案。经过 7 个月系统治疗,患者肿瘤状态成功从 “不可切除” 转化为 “可切除”。随后,肝胆外科在超声科刘青林主任团队的技术支持下,为患者实施肝叶切除术,并同步开展术中超声造影、术中射频消融术,精准清除肿瘤病灶。整场手术历时 2 小时,过程顺利。

“过去肝癌晚期患者 5 年生存率较低,转化治疗的成熟让更多患者看到长期生存的希望。” 患者主管医生,医院肝胆外科胥勇副主任医师介绍,肝癌治疗需贯穿早期筛查、中期干预、晚期转化全阶段,每个环节都离不开多学科团队的精准评估与个体化方案。

“这不仅是医院肝癌综合治疗水平的体现,更是医患携手抗癌的成果。” 肝胆外科赵锋主任医师表示,射洪市中医院团队已成功为多位晚期肝癌患者完成转化治疗,未来将持续以多学科协作模式,为更多患者提供重获健康的机会。